Comprehensive Dental Care for Every Smile

Comprehensive Dental Services for Healthy Smiles in Avon Lake, OH

Finding quality dental care you can trust can be stressful. From scheduling around busy family life to dealing with unexpected dental issues, it’s easy to feel overwhelmed. At Avon Lake Family Dental Care in Avon Lake, OH, we make every visit simple, comfortable, and reassuring. Whether you need a routine cleaning or a full smile restoration, our team delivers gentle, comprehensive care for all ages. Call us today at (440) 933-4486 to experience dental care that puts your comfort and health first.

A Family Dentist You Can Count On

Black tooth illustration on white background.
Black tooth silhouette.
Black tooth icon.
Black tooth icon on white background.
Black tooth illustration on white background.

Your smile deserves care that’s both professional and personal. Our compassionate dental team is dedicated to creating a welcoming atmosphere where every patient—kids, teens, and adults—feels valued and at ease. From your first visit, we focus on listening to your concerns and building long-term relationships based on trust.

Preventive and Diagnostic Care for Lifelong Health

Black molar tooth icon.
Black tooth icon.
Black tooth icon.
Black tooth silhouette on a white background.
Black tooth silhouette on a white background.

Healthy smiles begin with prevention. We offer routine checkups and advanced diagnostic tools to detect issues early and keep your teeth strong. Our preventive services include:

Female dentist icon next to a tooth with a plus sign.

Professional Teeth Cleanings—Maintain excellent oral health year-round.

A black and white icon depicts an open mouth, tongue, teeth, and a growth, possibly a disease or infection.

Oral Cancer Screenings—Detect disease at a treatable stage.

Black silhouette of a caulking gun.

Sealants – Protect children’s teeth from cavities and decay.

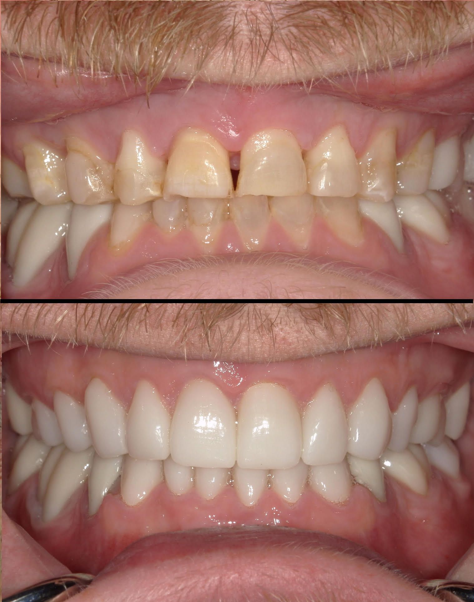
Restorative Dentistry That Restores Confidence

Black tooth icon on a white background.
Black tooth icon.
Black tooth icon with white background.
Black and white cartoon tooth.
Black silhouette of a tooth.

Damaged or missing teeth can affect how you eat, speak, and smile. Our restorative solutions rebuild your confidence and oral function with lasting results:

Black tooth icon with a white curved arrow pointing down.

Bonding

Repair chips or cracks seamlessly.

Two teeth with crowns being placed.

Fillings

Strengthen and restore your teeth.

Black dental graphic with teeth, wifi symbol, and a dot.

Crowns and Bridgework

Replace missing or damaged tooth structures.

Black tooth with curved dental tool.

Root Canal Treatment

Save infected teeth effectively.

Black dental implant.

Dental Implants

Enjoy the longest-lasting tooth replacement available.

Silhouette of upper and lower dentures, black on a white background.

Removable Dentures

Regain your smile comfortably.

Dental extraction with syringe.

Tooth Extractions

Remove teeth that can’t be saved safely.

Cosmetic Dentistry for a Brighter Smile

Black tooth icon on a white background.
Black tooth icon on a white background.
Black tooth icon on white background.
Black silhouette of a tooth.
Black tooth icon.

If you’re ready to love your smile again, our cosmetic options can help. From small touch-ups to full makeovers, we use advanced techniques to enhance your natural beauty.

Black and white teeth icon with plus signs and a sparkle.

Porcelain Veneers – Reshape and repair your teeth.

Black tooth with sparkles, representing dental care or clean teeth.

Teeth Whitening  – Lighten discoloration and stains for a radiant look.

Specialty and Emergency Dental Care

Black and white tooth icon.
Black tooth icon with white background.
Black tooth icon.
Black tooth icon with white background.
Black tooth icon on white background.

Life happens, and sometimes you need dental help fast. Our team provides same-day emergency care when possible, as well as specialized treatments to manage complex concerns.

Two sets of teeth with braces.

Orthodontic Treatment

Align teeth and improve bite function.

Black tooth icon with gums.

Periodontal (Gum) Disease Therapy

Prevent tooth loss and improve gum health.

A black line drawing of a kidney with vertical lines inside, surrounded by a circular arrow.

TMJ/TMD Treatment

Relieve jaw pain and discomfort.

Black tooth icon with white cross, representing dental healthcare.

Emergency Dental Treatment

Quick relief for chipped or knocked-out teeth.

Safety, Cleanliness, and Modern Standards

Black and white tooth icon.
Black tooth silhouette on a white background.
Black tooth icon on white background.
Black tooth silhouette.
Black tooth icon on white background.

Your health and safety are always our top priorities. We exceed infection-control guidelines from the ADA, CDC, and OSHA. Our team continuously updates procedures to ensure a clean, safe, and comfortable environment at every visit.

Building Smiles That Last a Lifetime

Black tooth silhouette.
Black tooth icon with white background.
Black tooth icon.
Black tooth icon on a white background.
Black tooth icon on white background.

At Avon Lake Family Dental Care, we believe great dentistry goes beyond the chair. It’s about educating patients, fostering healthy habits, and being a lifelong partner in your oral health journey. From your child’s first checkup to restoring your own smile, our caring team is here for every stage of life. We take pride in helping families across Avon Lake and surrounding areas achieve smiles that not only look beautiful but also feel healthy and confident too.

Personalized Care With Advanced Technology

Black tooth illustration.
Black tooth icon.
Black tooth silhouette with a small white highlight.
Black tooth icon with a white background.
Black tooth icon on white background.

We combine old-fashioned compassion with state-of-the-art tools. Digital imaging, precise diagnostic equipment, and minimally invasive techniques allow us to provide efficient, accurate, and gentle treatment every time.

A Dental Experience Built Around Comfort

Black tooth icon.
Black tooth silhouette.
Black tooth icon.
Black molar tooth on white background.
Black tooth icon on white background.

Dental visits shouldn’t be stressful. From soothing surroundings to a friendly team that explains every step, we make sure you feel informed and relaxed. Whether you’re here for a cleaning or a complex treatment, we go the extra mile to keep you comfortable.

Serving Avon Lake and Surrounding Areas

Black tooth icon.
Black tooth icon on a white background.
Black tooth icon.
Black and white graphic of a molar tooth.
Black tooth silhouette on a white background.

We’re proud to serve families in Avon Lake, OH, and nearby communities. No matter where you’re coming from, our office welcomes new patients seeking honest advice, quality dental care, and a healthier smile.

Why Choose Avon Lake Family Dental Care?

Black tooth graphic on white background.
Black tooth icon on a white background.
Black tooth icon on white background.
Black tooth silhouette.
Black tooth silhouette.

When you choose us, you’re choosing a team that truly cares about your smile and your comfort.

Black check mark on a white background.
Black tooth illustration.
Black molar tooth icon with a white background.
Black tooth icon on a white background.
Black tooth icon on white background.
Black tooth icon on white background.

Decades of combined dental experience

Black checkmark on a white background.
Black and white illustration of a tooth.
Black tooth icon.
Black tooth silhouette on white background.
Black tooth icon on a white background.
Black tooth icon.

Gentle, patient-centered care for all ages

Black checkmark on white background.
Black tooth icon on a white background.
Black and white tooth icon.
Black tooth icon on white background.
Black tooth icon.
Black tooth icon.

Latest technology and modern treatment methods

Black checkmark icon.
Black tooth icon.
Black tooth icon with white background.
Black tooth icon on white background.
Black molar tooth icon.
Black and white illustration of a tooth.

Comprehensive preventive, restorative, and cosmetic services

Black check mark on white background.
Black silhouette of a tooth.
Black tooth icon.
Black and white tooth icon.
Black tooth icon.
Black tooth silhouette.

Convenient scheduling and emergency availability

Black phone with a speech bubble icon.
Black molar tooth icon.
Black tooth icon.
Black tooth icon on white background.
Black tooth icon.
Black tooth icon.

Keep your family smiling with trusted dental care that puts your comfort first. Call Avon Lake Family Dental Care today at (440) 933-4486 or schedule your appointment online to experience compassionate, comprehensive dentistry in Avon Lake, OH.